Belén Avenue Mall
20A Street No. 76 - 33
Office 205
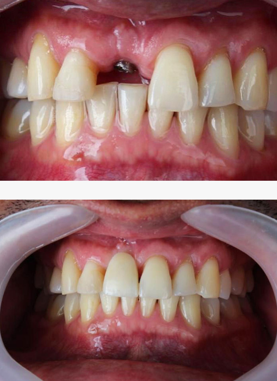
DS-002 | Smile Design + Oral Rehabilitation on single tooth implants
We were able to restore the patient’s smile and chewing function and transform their dental aesthetics.
Oral rehabilitation on an implant with a highly aesthetic crown.
This was a complex oral rehabilitation case as it involved the replacement of a single tooth. We were challenged to match the color, size, and shape of the teeth.


